Slide

New horizons in eye research

Artificial intelligence & digital eye health

Slide

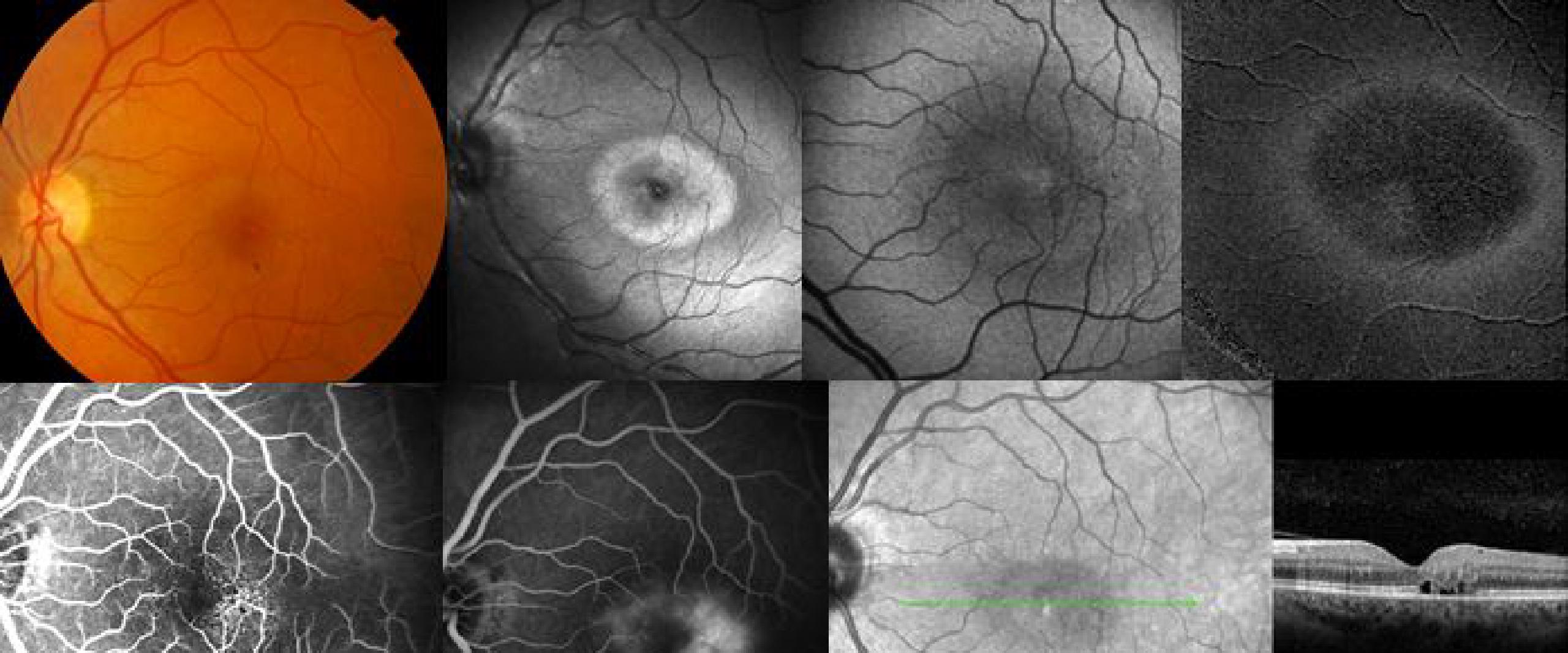
The MacTel study

Understanding and unravelling the aetiology of macular telangiectasia, a poorly understood and blinding eye disease

Learn more
Slide

The FENETRE study

Looking at optimising AMD treatment for the best possible patient outcomes

Learn more

Our mission Imaging and data-driven ophthalmology research

At the Moorfields reading centre we aim to harness the potential of big data and artificial intelligence to offer novel solutions for image grading and provide added value alongside high quality image grading for clinical trials

About Us

Our Services

Clinical Trials & Image Grading

Clinical Trials & Image Grading

Grading for clinical trials is the core of our reading centre activity. Alongside excellent quality standards for image grading, we are developing novel automated segmentation tools to increase efficiency and enable predictive analytics.

Read more
Data Science & Artificial Intelligence

Data Science & Artificial Intelligence

We are a world leader in the application of artificial intelligence (AI) to medical imaging diagnosis. We also provide the world’s largest and best curated datasets for the purpose of training the next generation of AI algorithms.

Read more
Telemedicine & Virtual Clinics

Telemedicine & Virtual Clinics

Most imaging can now be done remotely, allowing for patients to be screened and monitored from a local virtual clinic or even from the comfort of their own home. The reading centre is delivering high volume ‘virtual’ clinics utilising digital technologies.

Who we are Reading centre leads

Dr Konstantinos Balaskas

Director of Reading Centre & Clinical AI Lab

Dr Nikolas Pontikos

Deputy Director & Data Science Lead

Khadra Adan

Image Grading Lead

Our collaborators Our collaborators and partners