NEO - Neovascular AMD and diabetic macular oedema model

Our NEO segmentation algorithm is applied to Optical Coherence Tomography (OCT) b-scans acquired with the Heidelberg Spectralis. It was trained on our dense segmentation dataset, consisting of manually segmented full volume OCT scans from both TopCon 3D-2000 and Heidelberg Spectralis OCTs. Entire OCT volumes where manually double graded by expert graders at the Moorfields Reading Centre (all 128 b-scans of each TopCon OCT and all 49 b-scans of each Heidelberg OCT), to generate the training data for the NEO model. It is able to segment and quantify the following features of neo-vascular AMD:

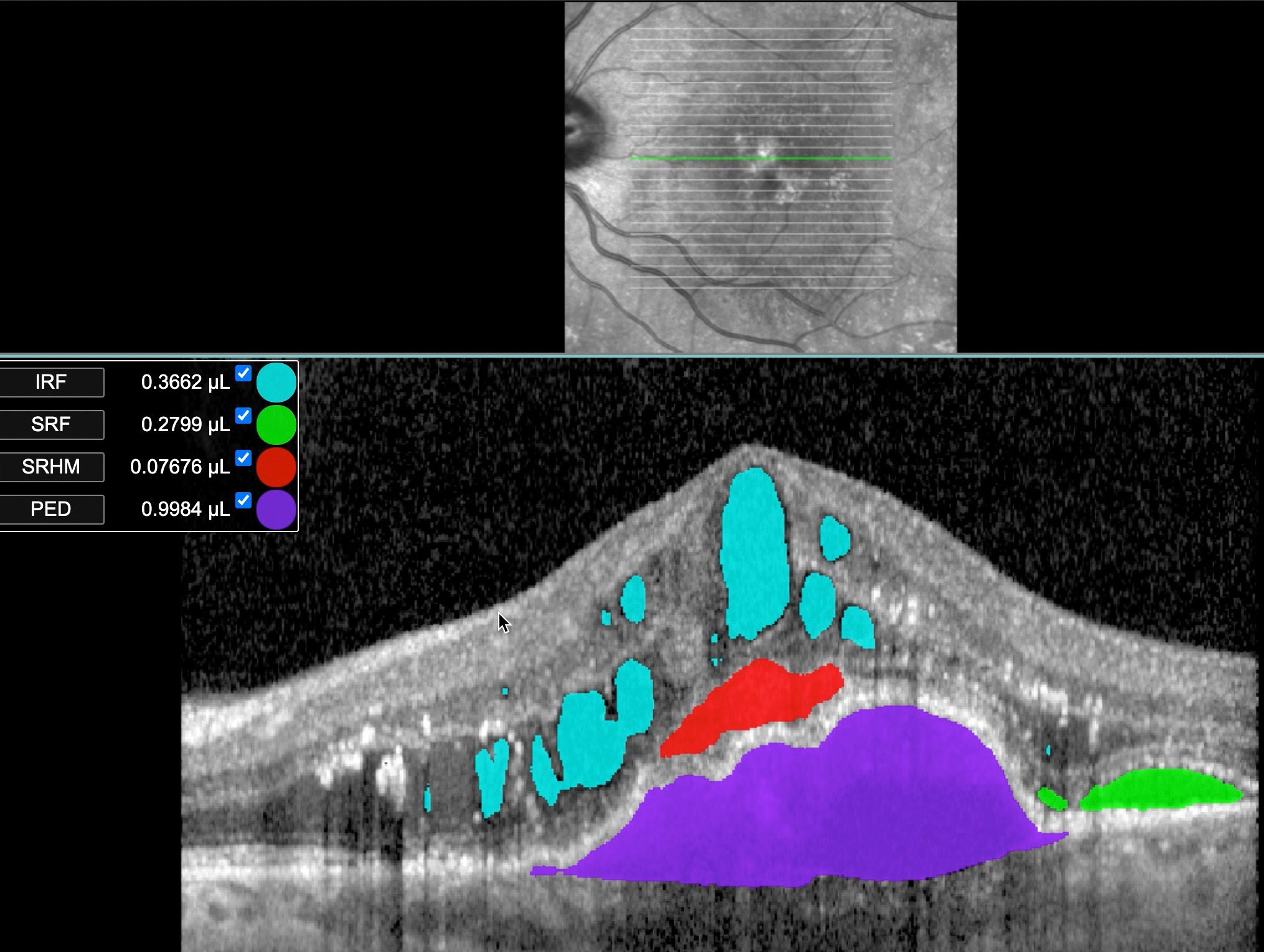
  • Pigment epithelium detachment (PED)
  • Subretinal hyper-reflective material (SHRM)
  • Subretinal fluid (SRF)
  • Intra retinal fluid (IRF)

And the following features of Macular Oedema (Diabetic, secondary to Retinal Vein Occlusion, other causes):

  • IRF (cystic spaces)
  • SRF

Software Description

  1. Deep learning model implemented in PyTorch trained on data of Heidelberg scans and validated in an independent, external, real-life dataset demonstrating human-level performance. The model runs on AWS lambda. It takes as input a macular OCT volume and produces segmentation maps.

  2. A PDF report is returned which contains B-scans visualisation of the segmentation output.

Privacy & Terms

By using NEO you agree to the following: